Researchers publish safety data from Phase 3 aducanumab trials, showing incidence of ARIA

01/12/2021

Amyloid-related imaging abnormalities occurred relatively often in participants enrolled in the Phase 3 clinical trials of aducanumab, according to a recent study published in the JAMA Neurology journal.

Aducanumab is a monoclonal antibody treatment that targets amyloid beta proteins in the brain, leading to clearance of these damaging proteins by the immune system. The Phase 3 ENGAGE and EMERGE clinical trials investigated the efficacy and safety of aducanumab in participants with mild cognitive impairment and mild dementia due to Alzheimer’s disease, delivering aducanumab or a placebo to participants over a period of 76 weeks.

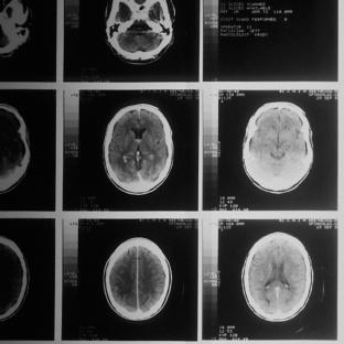
Focusing on data from trial participants receiving the highest monthly dose of aducanumab (10mg/kg, delivered via intravenous infusion), the researchers evaluated the incidence of amyloid-related imaging abnormalities, also known as ARIA. ARIA are detected using brain MRI scans, and can either manifest as accumulation of fluid deposits in the brain (known as ARIA-E) or as small brain bleeds (ARIA-H). Drugs such as aducanumab, which target and clear amyloid plaques, are known to cause side-effects that include ARIA.

Overall, 41% of people receiving the highest dose of aducanumab developed ARIA (425 of 1029 participants), compared to 10% of people receiving a placebo treatment. The majority of these ARIA cases were linked to fluid deposits in the brain (ARIA-E), and approximately 25% experienced mild symptoms linked to ARIA-E, including headache, dizziness or nausea. 1.4% of participants experienced more serious symptoms, requiring hospitalisation and/or causing long-term impairment. However, most cases of ARIA-E resolved within 16 weeks.

About 40% of participants with ARIA-E also had small brain bleeds (called ARIA-H). Participants who already had evidence of ARIA-H prior to commencing the trial were at double the risk of ARIA. In addition, participants with one or more ApoE4 alleles had a heightened risk of ARIA; 66% of participants with two ApoE4 alleles experienced ARIA, compared to 20% of participants with no ApoE4 alleles.

https://jamanetwork.com/journals/jamaneurology/fullarticle/2786606